初診の患者さまへ
症状が同じでも、原因は一人ひとり異なります。
当院では、症状の裏に隠れている原因を探り噛み合わせ、歯周組織、骨の状態、
そして治療後に起こりうるリスクまで含めて検討し、
治療の可否や方法を慎重に判断しています。
初診では、治療をすぐに始めることを前提としていません。(痛みや腫れがある場合は除外)
まずお口の状態を正確に把握し、治療の必要性や選択肢を検討します。
- STEP 1お話を伺います
- これまでの治療歴や現在の状況、治療に対するお考えを伺います。
- STEP 2診査・確認
- 噛み合わせや周囲組織の状態など、診査診断に必要な情報を収集します。
- STEP 3現状の説明
- 現在の状態と考えられる選択肢について、分かりやすくご説明します。
- STEP 4今後についてのご提案
- 治療方法だけでなく、「何もしない」という選択肢も含めてご案内します。
注意点
初診には十分な時間をいただきます。
ご自身が納得された上で判断していただくことを大切にしています。
プラスαのこだわり治療
CT×顕微鏡による根管治療
複雑な根管も的確に把握し、より精密に治療
長期安定を目指したインプラント治療
ミリ単位の制度を求めて正確さを追求
SICAT-Airによる気道容積の可視化
(睡眠時無呼吸症候群)
睡眠の質を改善し、全身の健康をサポート
エアフローを用いたパウダーメインテナンス
歯面を傷つけずに、快適で効果的なクリーニング
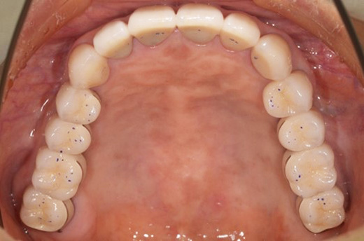
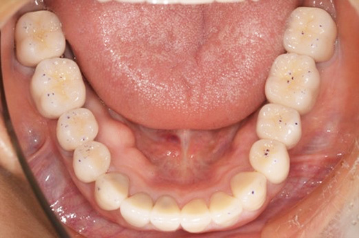
フルマウス・リコンストラクション
歯でお悩みの患者様に対する包括的かつ専門的なトータルアプローチで長期的に安定した口腔環境の回復を目指す







CAD/CAM治療
口腔内スキャナーとミリングマシンによる、快適な嚙み心地と自然な見た目を院内技工で完結